
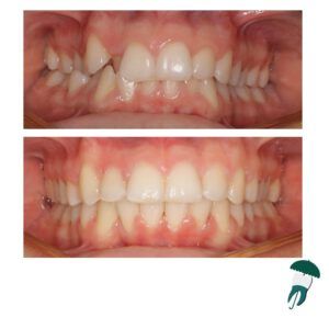
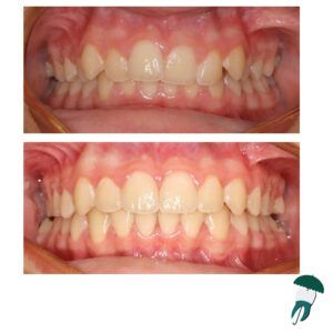
Niesamowite efekty leczenia ortodontycznego
Na zdjęciach efekty leczenia ortodontycznego przeprowadzonego przez lek. dent. Małgorzatę Kałużną-Różańską
Galeria zdjęć






Zostań naszym pacjentem już dziś!
tel.+48 63 243 75 32
mailcentrodent@wp.pl
Zapraszamy do kontaktu i gwarantujemy, że już zostaniesz z nami!
Skontaktuj się z nami
Masz pytania? Skontaktuj się z naszym handlowcem – z przyjemnością doradzimy i pomożemy wybrać najlepsze rozwiązanie dla Ciebie!
Telefon: +48 665 206 023
E-mail: centrodent@wp.pl
Jesteśmy do Twojej dyspozycji i chętnie udzielimy wszelkich potrzebnych informacji.
