
Podcięcie wędzidełka
Podcięcie wędzidełka wargi górnej
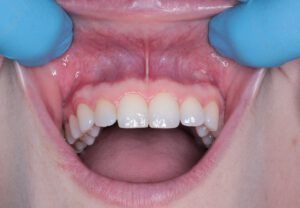
Wędzidełko wargi górnej to pionowy fałd błony śluzowej znajdujący się pomiędzy siekaczami centralnymi górnymi. W sytuacjach, gdy wędzidełko wargi górnej jest przerośnięte lub nisko przyczepione może stać się przyczyną diastemy, utrudnionego oczyszczania zębów oraz innych problemów ortodontycznych, periodontologicznych, protetycznych oraz logopedycznych. W takiej sytuacji należy wykonać zabieg podcięcia wędzidełka. Najczęściej wykonuje się go w ósmym roku życia lub po wyrośnięciu wszystkich czterech stałych siekaczy górnych.

Podcięcie wędzidełka języka
Wędzidełko języka ma postać włóknistej tkanki rozciągającej się pomiędzy spodem języka a dnem jamy ustnej. Rolą wędzidełka jest umożliwienie swobodnego ruchu języka, a co za tym idzie prawidłowej artykulacji dźwięków i wymowy. U niektórych osób może wystąpić wrodzona wada anatomiczna w postaci zbyt krótkiego wędzidełka języka. Choć nie jest groźna dla zdrowia, to stwarza problemy, przede wszystkim związane z prawidłową wymową, lecz także z przeżuwaniem pokarmów czy utrzymaniem właściwej higieny jamy ustnej. Problem zauważalny jest już w dzieciństwie i na szczęście może być rozwiązany prostym zabiegiem chirurgicznym, polegającym na podcięciu wędzidełka języka. Wędzidełko języka podcinamy najszybciej jak to możliwe.

Zostań naszym pacjentem już dziś!
Zapraszamy do kontaktu i gwarantujemy, że już zostaniesz z nami!
Skontaktuj się z nami
Masz pytania? Skontaktuj się z naszym handlowcem – z przyjemnością doradzimy i pomożemy wybrać najlepsze rozwiązanie dla Ciebie!
Telefon: +48 665 206 023
E-mail: centrodent@wp.pl
Jesteśmy do Twojej dyspozycji i chętnie udzielimy wszelkich potrzebnych informacji.
