
Prace kombinowane
Bardzo komfortowym rozwiązaniem dla Pacjentów są prace kombinowane czyli złożone z uzupełnień protetycznych stałych i ruchomych.

Dużą zaletą prac złożonych jest wyeliminowanie nieestetycznych klamer (zwłaszcza w odcinku przednim) dzięki zastosowaniu zasów, zatrzaków lub koron teleskopowych. Zamki lub zasuwy ukryte są wewnątrz konstrukcji, a więc są zupełnie niewidoczne, co daje jeszcze lepszy efekt kosmetyczny.

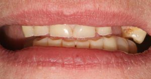
przed leczeniem

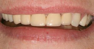
po leczeniu

praca kombinowana na zatrzaskach
Zostań naszym pacjentem już dziś!
Zapraszamy do kontaktu i gwarantujemy, że już zostaniesz z nami!
Skontaktuj się z nami
Masz pytania? Skontaktuj się z naszym handlowcem – z przyjemnością doradzimy i pomożemy wybrać najlepsze rozwiązanie dla Ciebie!
Telefon: +48 665 206 023
E-mail: centrodent@wp.pl
Jesteśmy do Twojej dyspozycji i chętnie udzielimy wszelkich potrzebnych informacji.
