
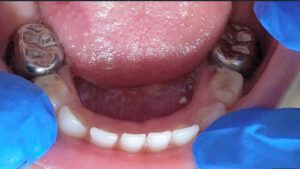
Korony stalowe
Korony stalowe stosowane są do odbudowy tkanek zębów trzonowych mlecznych. Są uznawane jako jedna z najlepszych form uzupełnień u dzieci.
Jakie są wskazania do wykonania koron stalowych?
Wskazaniem do wykonania koron stalowych są przede wszystkim ubytki próchnicowe, które obejmują co najmniej dwie powierzchnie zębów mlecznych, odbudowa zębów pourazowych lub z zaburzeniami rozwojowymi.
Jakie są zalety koron stalowych?
Badania naukowe dowodzą, że korony stalowe są najbardziej trwałym uzupełnieniem u dzieci. Odbudowują kształt oraz funkcję zęba mlecznego i pozwalają na jego utrzymanie w jamie ustnej do czasu fizjologicznej wymiany. Korona stalowa ochrania wszystkie powierzchnie zęba mlecznego przed próchnicą. W przeciwieństwie do zwykłego wypełnienia, nie ma konieczności powtórnego leczenia lub wymiany korony przed fizjologicznym wypadnięciem zęba mlecznego, dlatego pozwalają na oszczędność Państwa czasu oraz pieniędzy.

Jak wygląda zakładanie koron stalowych?
Korony metalowe są już gotowe (prefabrykowane), więc można je założyć podczas jednej wizyty. W trakcie wizyty lekarz dentysta dobierze odpowiedni rozmiar korony, oczyści ząb oraz zacementuje ją na specjalny klej.
W niektórych sytuacjach klinicznych przed założeniem korony należy pomiędzy zęby założyć separatory (małe gumeczki). Separatory delikatnie odsuwają od siebie zęby co pozwala na łatwiejsze założenie korony. Jeśli Twoje dziecko ma założone separatory musisz przyjść na następną wizytę zgodnie z zaleceniami stomatologa.

Zostań naszym pacjentem już dziś!
Zapraszamy do kontaktu i gwarantujemy, że już zostaniesz z nami!
Skontaktuj się z nami
Masz pytania? Skontaktuj się z naszym handlowcem – z przyjemnością doradzimy i pomożemy wybrać najlepsze rozwiązanie dla Ciebie!
Telefon: +48 665 206 023
E-mail: centrodent@wp.pl
Jesteśmy do Twojej dyspozycji i chętnie udzielimy wszelkich potrzebnych informacji.
