
Endodoncja Konin
Leczenie kanałowe – nowoczesna endodoncja
Jeszcze do niedawna ząb z zaawansowanym zapaleniem miazgi był niemal skazany na usunięcie. Obecnie nowoczesna endodoncja pozwala uratować nawet zęby o skomplikowanej budowie. Leczenie kanałowe jest precyzyjnym, wieloetapowym zabiegiem, który pozwala wyeliminować ból, zatrzymać infekcję oraz zachować naturalne uzębienie na długie lata.

Co to jest leczenie kanałowe?
Leczenie kanałowe (endodontyczne) polega na usunięciu zainfekowanej lub martwej miazgi z wnętrza zęba, oczyszczeniu wszystkich kanałów korzeniowych i ich szczelnym wypełnieniu. Miazga jest tkanką odpowiedzialną za odżywianie i unerwienie zęba. Kiedy zostanie zaatakowana przez bakterie, powoduje silny ból, obrzęk i stany zapalne.
Kiedy leczenie jest konieczne?
- silny, pulsujący ból zęba (szczególnie nocą),
- nadwrażliwość na ciepło i zimno,
- ciemnienie lub szarzenie zęba,
- obecność ropnia lub obrzęku,
- urazy mechaniczne (złamania, pęknięcia),
- zmiany zapalne widoczne na RTG.
Etapy leczenia kanałowego
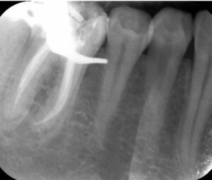
- Diagnostyka – RTG lub tomografia CBCT pozwala ocenić liczbę kanałów i obecność zmian zapalnych.
- Otwarcie komory i usunięcie miazgi – oczyszczenie komory i kanałów z chorej tkanki.
- Opracowanie kanałów – przy użyciu pilników ręcznych lub maszynowych, z obfitym płukaniem środkami odkażającymi.
- Dezynfekcja – płukanie kanałów specjalnymi środkami (np. podchlorynem sodu), czasem z użyciem lasera.
- Wypełnienie – szczelne zamknięcie kanałów gutaperką, aby uniemożliwić przenikanie bakterii.
- Odbudowa zęba – wkładem z włókna szklanego lub metalowego, odbudową kompozytową utraconego zrębu korony klinicznej, a następnie koroną lub mostem protetycznym.

Nowoczesne technologie w endodoncji
- Mikroskopy zabiegowe – precyzyjne opracowanie kanałów, widoczność mikropęknięć i dodatkowych kanałów.
- Endometry – dokładne pomiary długości kanału.
- Systemy gorącej gutaperki – szczelne wypełnienie bez pustych przestrzeni.
- Tomografia CBCT – trójwymiarowy obraz zęba.
- Koferdam – izolacja pola zabiegowego.
- Radiografia cyfrowa – redukcja dawki promieniowania nawet o 90%.

Odbudowa zęba po leczeniu kanałowym
Zęby po leczeniu kanałowym są osłabione i wymagają wzmocnienia. W zależności od stopnia zniszczenia stosujemy:
- Kompozyt – przy małych ubytkach, szybka odbudowa,
- Włókno szklane – wzmocnienie od wewnątrz,
- Korona protetyczna – przy dużych ubytkach, trwałość na lata,
- Most protetyczny – gdy konieczna jest szersza odbudowa funkcji zgryzu.

Podsumowanie
Leczenie kanałowe to skuteczna i bezpieczna metoda ratowania zębów. Dzięki nowoczesnym technologiom w Centrodencie możliwe jest uratowanie nawet bardzo zniszczonych zębów, które później mogą pełnić rolę filarów pod korony i mosty protetyczne.
Najczęściej zadawane pytania
Leczenie przeprowadzane jest w znieczuleniu miejscowym, co zapewnia komfort i bezbolesny przebieg zabiegu.
Zależnie od stopnia skomplikowania i liczby kanałów – od 1 do kilku wizyt.
Przednie zęby często wystarczy odbudować kompozytem. Zęby trzonowe, aby uniknąć ryzyka złamania, wymagają odbudowy protetycznej – najczęściej korony na wkładzie koronowo-korzeniowym.
Przednie zęby często wystarczy odbudować kompozytem. Zęby trzonowe, aby uniknąć ryzyka złamania, wymagają odbudowy protetycznej – najczęściej korony na wkładzie koronowo-korzeniowym.
Zostań naszym pacjentem już dziś!
Zapraszamy do kontaktu i gwarantujemy, że już zostaniesz z nami!
Skontaktuj się z nami
Masz pytania? Skontaktuj się z naszym handlowcem – z przyjemnością doradzimy i pomożemy wybrać najlepsze rozwiązanie dla Ciebie!
Telefon: +48 665 206 023
E-mail: centrodent@wp.pl
Jesteśmy do Twojej dyspozycji i chętnie udzielimy wszelkich potrzebnych informacji.
