
Skaling
Skaling zębów, czyli pełna analiza jednego z najważniejszych zabiegów profilaktycznych w stomatologii
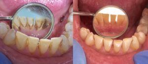
Skaling zębów to profesjonalny zabieg stomatologiczny, którego celem jest dokładne usunięcie kamienia nazębnego, czyli twardych złogów powstałych z zmineralizowanej płytki bakteryjnej. Choć zabieg ten może wydawać się prosty, jego znaczenie dla zdrowia jamy ustnej jest ogromne. Zbagatelizowanie kamienia może prowadzić do chorób przyzębia, utraty zębów, nieświeżego oddechu i próchnicy.

Dlaczego warto wykonywać skaling?
Zdrowie dziąseł i przyzębia
- Usunięcie złogów niewidocznych dla szczoteczki,
- Zapobieganie zapaleniom dziąseł i paradontozie,
- Ograniczenie krwawienia i recesji dziąseł,
- Ochrona przed rozchwianiem i utratą zębów.
Estetyka i świeży oddech
- Czystsze, jaśniejsze i gładsze zęby,
- Usunięcie biofilmu i bakterii przywraca świeżość oddechu,
- Wygładzone powierzchnie wolniej łapią osady i przebarwienia.
Skaling działa kompleksowo, poprawiając kondycję jamy ustnej i wygląd uśmiechu już po jednej wizycie.
Jak często należy przeprowadzać skaling?
- Standardowo: co 6–12 miesięcy,
- Przy szybkim odkładaniu kamienia: nawet co 3–4 miesiące,
- Częściej u palaczy i osób pijących dużo kawy, herbaty, czerwonego wina.
Ostateczną częstotliwość ustala stomatolog po ocenie stanu uzębienia i stylu życia pacjenta.
Rodzaje skalingu – techniki i zastosowanie
Skaling naddziąsłowy
- Usuwa kamień z widocznej części zębów (nad linią dziąseł),
- Zwykle bezbolesny, najczęściej wykonywany metodą ultradźwiękową,
- Zapobiega zapaleniom i poprawia wygląd zębów.
Skaling poddziąsłowy
- Oczyszcza kieszonki dziąsłowe, gdzie gromadzą się bakterie,
- Często wykonywany ręcznie, nierzadko w znieczuleniu,
- Stosowany w leczeniu chorób przyzębia.
Kiretaż
- Zaawansowana forma skalingu poddziąsłowego,
- Usuwa zainfekowane tkanki i głęboko osadzony kamień,
- Wspomaga regenerację tkanek przyzębia i może zapobiec zabiegom chirurgicznym.
Nowoczesne techniki skalingu
| Technika | Opis | Zastosowanie |
|---|---|---|
| Ultradźwiękowa | Fale rozbijające kamień + chłodząca mgiełka | Najczęściej wybierana, szybka |
| Ręczna (mechaniczna) | Precyzyjne oczyszczanie za pomocą kiret | Trudno dostępne miejsca |
| Chemiczna | Preparaty rozpuszczające kamień | Przy nadwrażliwości lub w ciąży |
| Laserowa | Bezdotykowe usuwanie kamienia + regeneracja tkanek | Nowoczesne gabinety |
Przeciwwskazania do skalingu
- Aktywne stany zapalne w jamie ustnej,
- Osteoporoza,
- Ciąża,
- Rozrusznik serca (przeciwwskazanie do ultradźwięków – możliwy skaling ręczny).
Możliwe skutki uboczne
- Przejściowa nadwrażliwość zębów (na zimno/ciepło/kwaśne),
- Delikatne podrażnienia dziąseł,
- Lekkie krwawienie,
- Chwilowy dyskomfort – łagodzony znieczuleniem miejscowym.
Co pomaga? Pasty dla zębów nadwrażliwych, płukanki łagodzące, unikanie drażniących produktów przez kilka dni oraz systematyczna higiena jamy ustnej.
Zalecenia po skalingu
Bezpośrednio po zabiegu
- Przez 60 minut: nie jedz i nie pij,
- Przez 24 godziny: unikaj gorących, zimnych i kwaśnych potraw.
Biała dieta (24–48 godzin)
Unikaj: kawy, herbaty, czerwonego wina, buraków, jagód, sosu sojowego, curry, ciemnych soków.
Wybieraj: ryż, jasny makaron, jajka, jogurty, mleko, kalafior, pieczonego kurczaka/indyka.
Zęby po skalingu są bardziej chłonne – unikaj produktów barwiących, aby nie stracić efektu.

Higiena po skalingu – jak utrzymać efekt?
- Myj zęby 2× dziennie (najlepiej szczoteczką soniczną),
- Używaj nici dentystycznej lub irygatora,
- Stosuj płukanki antybakteryjne,
- Unikaj częstego podjadania, ogranicz osadzanie się płytki,
- Regularnie odwiedzaj dentystę (co 6 miesięcy).
Ile kosztuje skaling?
Cena zabiegu zależy od jego zakresu oraz indywidualnych potrzeb pacjenta.
W naszym gabinecie koszt skalingu ultradźwiękowego całego uzębienia (2 łuki) wynosi 250 zł.
Jeśli chcesz uzyskać pełny efekt profilaktyczny i estetyczny, polecamy pakiet higienizacyjny (skaling + piaskowanie + fluoryzacja), którego cena wynosi 400 zł.
Dodatkowo raz w roku zabieg skalingu bywa dostępny bezpłatnie w ramach NFZ – warto sprawdzić, czy gabinet ma podpisaną umowę z Funduszem.
Skaling vs piaskowanie – czym się różnią?
| Cecha | Skaling | Piaskowanie |
|---|---|---|
| Cel | Leczniczy — usunięcie kamienia | Estetyczny — usunięcie przebarwień |
| Zakres działania | Głęboki, także pod dziąsłami | Powierzchniowy, na widocznej części |
| Technika | Skalery, kirety, ultradźwięki | Strumień wody, powietrza i proszku |
| Efekt | Poprawa zdrowia dziąseł | Gładkość i jaśniejszy uśmiech |
Połączenie obu zabiegów daje najlepszy rezultat: czyste, zdrowe i estetyczne uzębienie.
Pakiet higienizacyjny – kompleksowa profilaktyka
| Zabieg | Funkcja |
|---|---|
| Skaling | Usunięcie twardego kamienia |
| Piaskowanie | Eliminacja przebarwień i biofilmu |
| Lakierowanie | Wzmocnienie szkliwa fluorem |
Umów konsultację ze stomatologiem, aby dobrać plan higienizacji dopasowany do Twoich potrzeb.
Zostań naszym pacjentem już dziś!
Zapraszamy do kontaktu i gwarantujemy, że już zostaniesz z nami!
Skontaktuj się z nami
Masz pytania? Skontaktuj się z naszym handlowcem – z przyjemnością doradzimy i pomożemy wybrać najlepsze rozwiązanie dla Ciebie!
Telefon: +48 665 206 023
E-mail: centrodent@wp.pl
Jesteśmy do Twojej dyspozycji i chętnie udzielimy wszelkich potrzebnych informacji.
